Un bărbat diagnosticat cu una dintre cele mai grave forme de cancer cerebral s-a vindecat după ce tumora i-a dispărut complet datorită unui medicament revoluţionar, relatează People.
În octombrie 2022, Ben Trotman avea 40 de ani când a fost diagnosticat cu glioblastom, o formă rară de cancer terminal care ucide peste 10.000 de americani în fiecare an, potrivit National Brain Tumor Society.
Glioblastomul, cunoscut şi sub denumirea de GBM, nu are un tratament curativ cunoscut. Tratamentul standard implică intervenţia chirurgicală pentru îndepărtarea tumorii (dacă este posibil), urmată de radioterapie şi chimioterapie. Boala este considerată o tumoră extrem de invazivă a sistemului nervos central, deoarece celulele sale se reproduc foarte rapid. Persoanele diagnosticate cu această tumoră malignă au o rată medie de supravieţuire de aproximativ 14–14,5 luni.
După diagnostic, Trotman a fost îndrumat de un prieten către National Hospital for Neurology and Neurosurgery din cadrul University College London Hospitals (UCLH). Acolo, dr. Paul Mulholland, medic oncolog, l-a recrutat pe Trotman pentru a fi primul pacient dintr-un studiu clinic.
În cadrul studiului, Trotman a primit medicamentul de imunoterapie ipilimumab pentru tratarea glioblastomului, înainte de a urma orice tratament standard. Ulterior, a început radioterapia şi chimioterapia.
„Elementul crucial al acestui studiu este că pacienţii îşi vor stimula sistemul imunitar cu ajutorul medicamentului înainte de a urma alte tratamente, într-un moment în care sunt suficient de apţi şi sănătoşi pentru a tolera imunoterapia,” a declarat Mulholland într-un comunicat de presă.
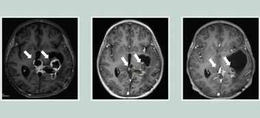
La doi ani şi opt luni după ce a fost singurul participant la studiul clinic, Trotman, acum în vârstă de 43 de ani, nu mai are tumoarea, iar investigaţiile imagistice au indicat că estre sănătos.
„Este foarte neobişnuit să avem o scanare complet curată în cazul unui glioblastom, mai ales în condiţiile în care el nu a mai făcut operaţia de îndepărtare a întregii tumori, aşa cum fusese planificat iniţial”, a explicat dr. Mulholland. „Sperăm că imunoterapia şi tratamentele ulterioare pe care Ben le-a urmat vor ţine tumora sub control – şi până acum aşa a fost, ceea ce ne bucură enorm”, a adăugat medicul.
Mulholland a adăugat că scopul său este să găsească un tratament curativ pentru această „boală devastatoare” care este glioblastomul şi că speră să continue studiul cu mai mulţi pacienţi.


